BLOGブログ

矯正コラム
2025年7月7日

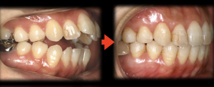
歯を抜かない矯正治療のご説明

当院では、なるべく歯を抜かずに歯並びやかみ合わせを整えることを大切にしています。歯を抜かない矯正治療には、次のようなメリットと注意点があります。 歯を抜かない矯正治療のメリット 自分の歯を大切…

READ MORE
2025年5月10日

歯並びは遺伝するのか

虫歯や歯周病になっていなくても、歯並びが気になる方は多くいると思います。 そこで今回は、歯並びは遺伝するのかについて解説します。 【遺伝が関係するポイント】  顎(あご)の…

READ MORE
2025年3月10日

歯を抜かない矯正治療

ライフ歯科矯正歯科の歯を抜かない矯正治療情報   歯を抜かない矯正治療にはいくつかのメリットがあります。 自然な歯並びの維持 歯を抜かずに治療を行うことで、元々ある歯をそのまま活かすこと…

READ MORE
2025年2月15日

歯科矯正、セファロ写真

当院の歯科矯正では ①ワイヤー矯正(メタルブラケット、セラミックブラケット、裏側矯正) ②マウスピース矯正(インビザライン、アソアライナー) ③小児矯正 を行っております。   全ての矯…

READ MORE
2023年2月10日

お子様の歯並びについて

  大阪心斎橋の歯を抜かない矯正をするライフ歯科矯正歯科です。   矯正というと、「ワイヤーをつける」「大人になってから」というイメージがありませんか? 実は矯正は乳歯の時期から始め…

READ MORE