BLOGブログ

すべて
2026年2月23日
矯正コラム

アレルギー性鼻炎が増える今、「鼻づまり」と子どもの歯並びは関係ある?

アレルギー性鼻炎が増える今、「鼻づまり」と子どもの歯並びは関係ある? 最近、アレルギー性鼻炎(鼻づまり・くしゃみ・鼻水)で悩むお子さんが増えています。鼻炎は「鼻の症状」だけで終わらず、実はお口の使…

READ MORE
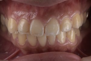
2026年2月22日
医院のお知らせ

「歯を抜かない矯正でセファロ(セファログラム)が重要な理由|非抜歯矯正の精密診断」

歯を抜かない矯正治療で「セファロ(セファログラム)」がとても大切な理由 「できるだけ歯を抜かずに矯正したい」という希望はとても多いです。 ただ、“抜かない”こと自体がゴールなのではなく、無理のない範…

READ MORE
医院のお知らせ

顎に違和感があるのは、噛み合わせが原因?

顎に違和感があるのは、噛み合わせが原因? https://doctorbook.jp/contents/132 参考動画 「口を開けると顎がだるい」「カクカク音がする」「噛むと違和感がある」「朝起きると顎が疲れている」——こうした“…

READ MORE
2026年2月21日
医院のお知らせ

オーストリア咬合学とは

ライフ歯科矯正歯科で実践している、オーストリア咬合学は、かみ合わせを「歯が当たる・当たらない」だけでなく、顎の動き・筋肉の働き・顎関節まで含めて“体に合うように設計する”という考え方です。(どちらかと…

READ MORE
2026年2月19日
医院のお知らせ

むし歯を減らすコツは「砂糖の量」より「砂糖の回数」<よくみがいてるんですが、、虫歯になるという方に知ってほしい、スウェーデンの研究とむし歯対策>

むし歯を減らすコツは「砂糖の量」より「砂糖の回数」 <よくみがいてるんですが、、むし歯になるという方に知ってほしい、スウェーデンの研究とむし歯対策> —北欧研究(Vipeholm・Turku)でわかった、今日…

READ MORE